Clear Aligners Ulab
Clear aligners™ is an invisible solution. So you won’t draw undue attention to your mouth while in treatment. Clear aligners treatment consists of a series of clear aligners that straighten your teeth right before your eyes. Change them about every 2-3 weeks, your teeth will move—little by little, week by week—until they have moved to the final position your orthodontist or dentist has prescribed. Comfortable to wear, our aligners are also removable so you can eat, drink, brush, and floss as usual. You’ll see your doctor every 2-3 months to see how you’re progressing.
Every few visits you’ll be given additional aligners to continue your treatment. Commonly, the number of aligners worn during treatment is between 18 and 30, but treatment time and number of aligners will vary from case to case.
A lot of powerful technology and doctor’s expertise combine to make a digital plan for shaping your new smile. At Royal York Ortho we offer ULab Aligners and Invisalign Aligners. Using a scanner, we can take a fast and precise 3D digital scan of your teeth and map out a custom treatment plan just for you. Clear aligners are an invisible solution. So you won’t draw undue attention to your mouth while in treatment. This treatment consists of a series of clear aligners that straighten your teeth right before your eyes. Change them about every 2-3 weeks, your teeth will move—little by little, week by week—until they have moved to the final position your orthodontist has prescribed. Comfortable to wear, our aligners are also removable so you can eat, drink, brush, and floss as usual. You’ll see your doctor every 2-3 months to see how you’re progressing.
Every few visits you’ll be given additional aligners to continue your treatment. Commonly, the number of aligners worn during treatment is between 18 and 30, but treatment time and number of aligners will vary from case to case.

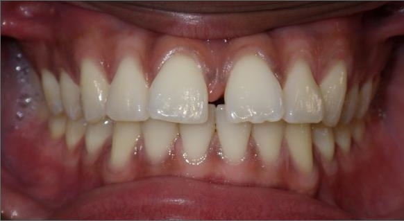
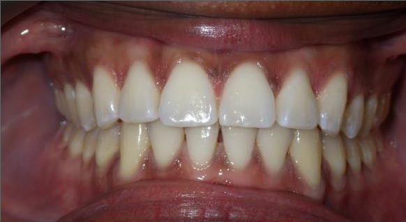
Before

After

30 years old, 12 months of treatment
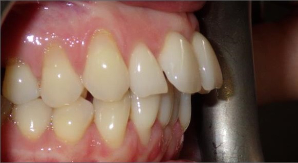
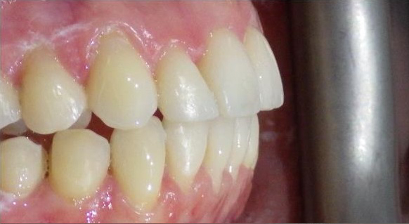
Before

After

34 years old, 9 months of treatment
View this post on Instagram
Recent Posts
-
Inside the World of Orthodontists: Education, Precision, and Transformative Treatments
The Evolution of Orthodontics: A Brief Historical Overview Orthodontics, an integral branch…
-
How Orthodontists Plan a Treatment for a Beautiful Smile
Understanding the Patient's Unique Needs A positive self-image and confidence can result…
-
Unleash Your New Smile! Here's What You Need to Know Before Braces Removal
Are you excited to see your smile transformation? Taking your braces off…
-
Traits That a Good Orthodontist Should Have
Choosing an orthodontist is half your smile transformation journey. That’s why in…
-
How Braces Can Help Fix an Asymmetrical Jawline
An asymmetrical jawline can cause concern for many individuals, affecting their appearance…
-
Can Cavities Be Reversed?
Cavities are among the most common dental issues people of all ages…
-
What to Prepare During Your First Braces Appointment
Are you about to embark on your journey to a beautiful smile…
-
Taking Care of Baby Teeth: A Comprehensive Guide for Parents
Caring for our children's health is one of our most crucial responsibilities…
-
What are Brace Elastics?
If you or someone you know is undergoing orthodontic treatment with braces,…
-
Difference Between an Overjet and Overbite: A Comprehensive Guide
Two orthodontic terms that often confuse our patients are "overjet" and "overbite."…

Instagram